(声明:本文仅用于科普用途,为了保护患者隐私,以下内容里的相关信息已进行处理)
摘要:本病例是一位中老年女性患者,受凉后出现咳嗽、咳黄脓痰,伴发热,胸部CT提示肺部感染,支气管镜肺泡灌洗液送检NGS提示肺炎链球菌感染,随即诊断为细菌性肺炎。住院期间予以药物对症治疗,治疗后症状完全缓解,各项指标恢复正常,治疗效果良好。
【基本信息】女、57岁
【疾病类型】细菌性肺炎
【就诊医院】武汉大学人民医院
【就诊时间】2022年5月
【治疗方案】药物治疗(注射用头孢哌酮舒巴坦钠、盐酸莫西沙星片、盐酸氨溴索片)
【治疗周期】住院治疗10天,门诊随访
【治疗效果】症状完全缓解,各项指标恢复正常,治疗效果良好
一、初次面诊
患者自诉:5天前,淋雨受凉后开始出现咳嗽、咳黄脓痰,伴发热,最高体温38.3℃,伴咽痛、畏寒,感全身乏力,无咯血、胸痛、呼吸困难,无头痛、头昏、耳鸣等其他不适,自行口服头孢克肟片治疗3天,上述症状无缓解,患者仍有咳嗽、咳痰、发热症状,于是来我院就诊。在我院发热门诊排除新冠感染后建议至呼吸内科门诊就诊,行胸部CT检查提示肺部感染。既往无特殊病史,无吸烟饮酒史,否认药物过敏史。查体:患者神志清楚,精神差,左下肺呼吸音粗,可闻及湿性啰音。
二、治疗经过
门诊阅片,患者胸部CT提示肺部感染,入院后进行血常规、降钙素原检查,提示炎症指标明显升高,痰培养、血培养未见明显细菌生长。行支气管镜检查送检肺泡灌洗液NGS提示:肺炎链球菌感染。最终考虑为细菌性肺炎,遂给予注射用头孢哌酮舒巴坦钠+盐酸莫西沙星片抗感染及盐酸氨溴索片化痰治疗。在院期间,嘱患者加强营养,注意休息,避免劳累熬夜等,拟抗感染治疗后复查胸部CT及血常规。
三、治疗效果
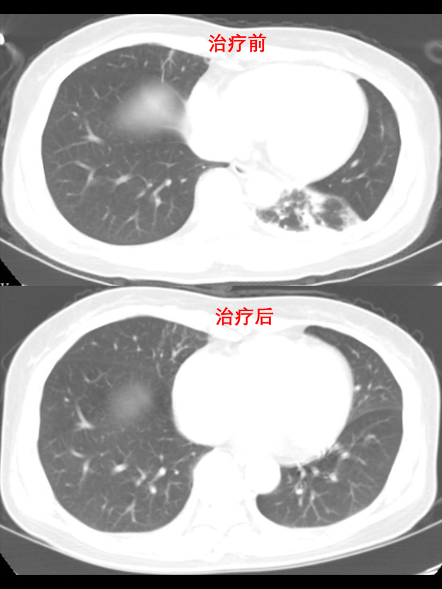
患者经积极抗感染+化痰药物治疗10天后,复查血常规提示:炎症指标完全恢复正常,复查胸部CT提示:肺部感染性病变明显吸收好转。听诊双肺呼吸音清,未闻及干湿性啰音,患者症状完全缓解出院。综上,患者症状完全缓解,各项指标恢复正常,治疗效果良好,患者顺利出院。出院后,嘱患者院外注意休息,避免劳累受凉感冒,加强营养,增强体质,呼吸内科门诊随诊。

(治疗前后胸部CT对比)
四、注意事项
很高兴经过治疗患者咳嗽、咳痰症状完全缓解,炎症指标恢复正常,细菌性肺炎主要是由于机体在免疫力下降的状态下,受到细菌入侵引起的肺部感染性病变,任何年龄阶段均可发病,尤其以劳累熬夜的青壮年,合并基础疾病的老年人以及免疫力低下、体弱多病的患者。日常生活中,应注意休息,避免劳累、受凉、熬夜,加强营养、增强体质。在天气变化及季节交替时注意增减衣物,必要时可接种预防性注射肺炎疫苗。
五、个人感悟
细菌性肺炎是社区获得性肺炎最常见的类型,发病率较高,常见的致病菌包括肺炎链球菌、金黄色葡萄球菌、流感嗜血杆菌等,患者可有肺实变体征,经胸部影像学及病原学检查确诊细菌性肺炎后要积极进行规范的抗感染治疗,尤其是合并发热、呼吸衰竭的患者,避免延误治疗而进展为重症肺炎进而危及生命等。就本病例患者而言,出现不适症状时自行口服药物,但是治疗效果欠佳,幸好就医及时,避免疾病的进一步加重。



![[object Object]](https://file.youlai.cn/cnkfile1/M02/61/EF/65D3D3336AC84F36B42296822DAE61EF.jpg?x-oss-process=image/resize,w_360,m_lfit)