-视频-文章-语音
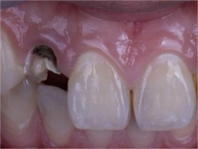
深龋牙齿几乎全没 了且残根发黑图
2023-07-27 10:32:33阅读:-
手机浏览
用手机扫描二维码在手机上继续观看
深龋牙齿几乎全没了且残根发黑图

以上为深龋牙齿几乎全没了且残根发黑图。
深龋属于进展到牙本质深层的龋齿,在临床上可见较深的洞,易被发现并探查到。深龋阶段会有严重牙齿缺损症状,表现为龋坏的牙齿几乎全没,仅剩残根,且残根根部发黑,此处受刺激时会有明显疼痛。
深龋牙齿几乎全没了且残根发黑病因
深龋是食物的残渣在牙缝中发酵,产生多种酸,从而破坏了牙齿的釉质,形成空洞,进而引发多种不适,严重时牙齿几乎全没了且残根发黑。
深龋牙齿几乎全没了且残根发黑治疗
深龋的治疗,必要时需在处理过程中除去表面釉质进入龋洞或拍X线片,然后再进行诊断。对于深龋,牙髓活力正常时,可选用双层垫底充填法,一次性完成治疗,垫平髓底后再做永久性充填修复。
深龋出现明显的症状,或温 度、化学刺激引起较重的激发痛,可先用消炎镇痛药物封闭窝洞,临床症状消除后再作进一步治疗,当出现牙齿几乎全没了且残根发黑时,可能需直接拔除。需注意,上述临床处理需遵循医生指导进行。
口腔科医生推荐
相关推荐
没有更多了



![[object Object]](https://file.youlai.cn/cnkfile1/M02/74/37/35988AB6E7561524D91458013BC67437.jpg?x-oss-process=image/resize,w_360,m_lfit)